
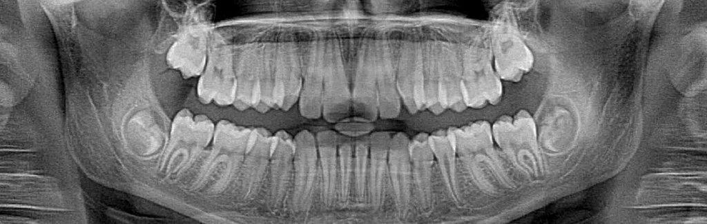
The Importance of Dental X-Rays
Dental X-rays are essential tools that allow dentists to detect cavities and other issues hidden beneath the surface of teeth that might not be visible during a routine examination. Early detection through X-rays can lead to more effective treatment of dental problems, ultimately benefiting the health of your teeth. While X-rays do involve some radiation exposure, patients are protected by wearing lead aprons during the process. Fortunately, advancements in technology have led to safer imaging methods.
How RR Dentistry Minimizes Radiation Exposure
For many years, traditional film X-rays were the standard in dental practices. However, our progressive dentists have transitioned to digital X-ray technology. While film X-rays may be less expensive, they expose patients to significantly higher radiation levels, which can pose health risks. In contrast, our digital X-ray systems emit up to 85% less radiation than conventional methods.
Our Commitment to Digital X-Ray Technology
At RR Dentistry, we recognize the tremendous benefits of digital X-rays, having utilized them for nearly two decades. This technology not only reduces radiation exposure but also enhances diagnostic accuracy. Additionally, digital X-rays help us minimize the use of harmful chemicals and waste materials typically associated with traditional X-ray processes, contributing to a healthier environment. Our commitment to reducing environmental impact was a key factor in our decision to adopt this innovative technology, and we take pride in being environmentally conscious. We hope that our efforts inspire others to support and adopt similar eco-friendly practices in their dental care.

Office Hours
MON - WED7:00 am - 3:30 pm
THU7:00 am - 1:00 pm
FRI7:00 am - 3:30 pm
SAT - SUNClosed